FAST Quiz for Medical Students
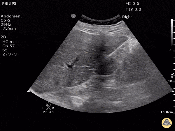
What quadrant are we in?
This is a RUQ view, also known as a right flank view or perihepatic view. The predominant organ in this view is the liver with Morrison's pouch directly below, between the liver and kidney.
What does FAST stand for?
The Focused Assessment with Sonography for Trauma helps determine the presence of free fluid in the peritoneum and pericardium (and pleura in eFAST exam). It can help inform management of trauma patients.
Which image shows a transverse pubic view?
The correct answer is C. The presence of the large, round hypoechoic region is the bladder. Option B is a sagittal cut of the pubic region which can be determined because of the oblong nature of the bladder. If there is fluid in the caudal portion of the peritoneum, it might be visualized in either pubic cross sectional views.
What view is this?
The subxiphoid/subcostal view is the primary echocardiography view used in the FAST exam to obtain a quick view of the heart. The other views might be used in further examination of the heart, if warranted or if the subxiphoid view is for some reason not accessible.
Which LUQ view represents a positive FAST (fluid present)?
The correct answer is A. Free fluid can be visualized between the diaphragm at the left side of the screen and the spleen on the right.
Submit Email
You got {number correct}/{number of questions} correct answers
Well, you are a Newbie!
It seems you are just starting out. Your effort is commendable though.
Keep learning more about the FAST exam!
You got {number correct}/{number of questions} correct answers
CLOSE! You are Experienced!
Well Done on scoring a great number!
You definitely have an understanding of the FAST exam, keep working to become and expert!
You got {number correct}/{number of questions} correct answers
Whoa! You are a FAST expert!
That's some great score!